Ir al contenido

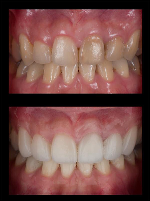
Dental Veneers Gallery

Book Your Visit Today

Let’s Make Your Smile Healthier — Starting Now

Request Appointment


  Complete Privacy

  Benefit from Special Deals

Start Consultation

Follow Us On Instagram

Keep us with us 

Follow Now !


Book via Zocdoc Call Now