Blanqueamiento Dental en Aliso Viejo, CA
Deja que tu sonrisa brille en solo una visita
En AVF Dental Group, el Dr. Reza A. Tafreshi ofrece tratamientos de blanqueamiento dental profesionales rápidos, seguros y altamente efectivos diseñados para proporcionarresultados inmediatos, notables y duraderos. Ya sea que te estés preparando para un evento, refrescando tu sonrisa o iluminando años de manchas, hacemos que el proceso sea cómodo y conveniente.

¿Por qué elegir el blanqueamiento dental profesional?
Evita las conjeturas y frustraciones de los kits comprados en la tienda. Nuestros tratamientos de blanqueamiento ofrecen:
Resultados inmediatos — hasta 8 tonos más claros en una visita
Cuidado seguro supervisado por dentistas
Tratamiento personalizado para tu sonrisa exacta
Menos sensibilidad e irritación
Brillo de larga duración
Mejor valor que las tiras de venta libre repetidas
Ofrecemos ambosblanqueamiento en consultoriopara resultados dramáticos el mismo día ybandejas personalizadas para llevar a casapara un control y flexibilidad total.
¿Qué es el blanqueamiento dental?
El blanqueamiento dental elimina manchas causadas por alimentos, bebidas, fumar, envejecimiento o trabajos dentales anteriores. Si bien las pastas dentales blanqueadoras y los kits de venta libre pueden ayudar ligeramente, a menudo:
No eliminan completamente las manchas profundas
Causan irritación en las encías
Ofrecen un brillo inconsistente
Toma semanas mostrar pequeños resultados
Blanqueamiento profesional, sin embargo, utiliza un gel blanqueador de mayor potencia, cuidadosamente monitoreado, que penetra más profundo y aclara tu sonrisa de manera dramática.
Tus Opciones de Blanqueamiento en AVF Dental Group
1. Blanqueamiento en Consultorio (Visita de Una Hora)
Perfecto para pacientes que desean resultados rápidos. Usando un gel blanqueador avanzado y activación de luz opcional, aclaramos tu sonrisa en una sola visita.
2. Bandejas de Blanqueamiento Personalizadas (Sistema en Casa)
Genial para mantener el brillo o blanquear a tu propio ritmo. Las bandejas personalizadas aseguran resultados uniformes sin irritación de encías.
Beneficios del Blanqueamiento Dental Profesional
Una sonrisa notablemente más brillante en una cita
Confianza aumentada para fotos, eventos y la vida diaria
Dientes más blancos sin dañar el esmalte
Seguro y adaptado a tu historial dental
Ayuda a mantener la salud bucal en general
Resultados más rápidos y fuertes que cualquier kit de tienda
Una sonrisa más brillante puede incluso mejorar las primeras impresiones — personal y profesionalmente.
Tus Pasos de Tratamiento
1
Evaluación de Sonrisa
El dentista revisa tus dientes y encías para asegurar que el blanqueamiento sea seguro y efectivo.
2
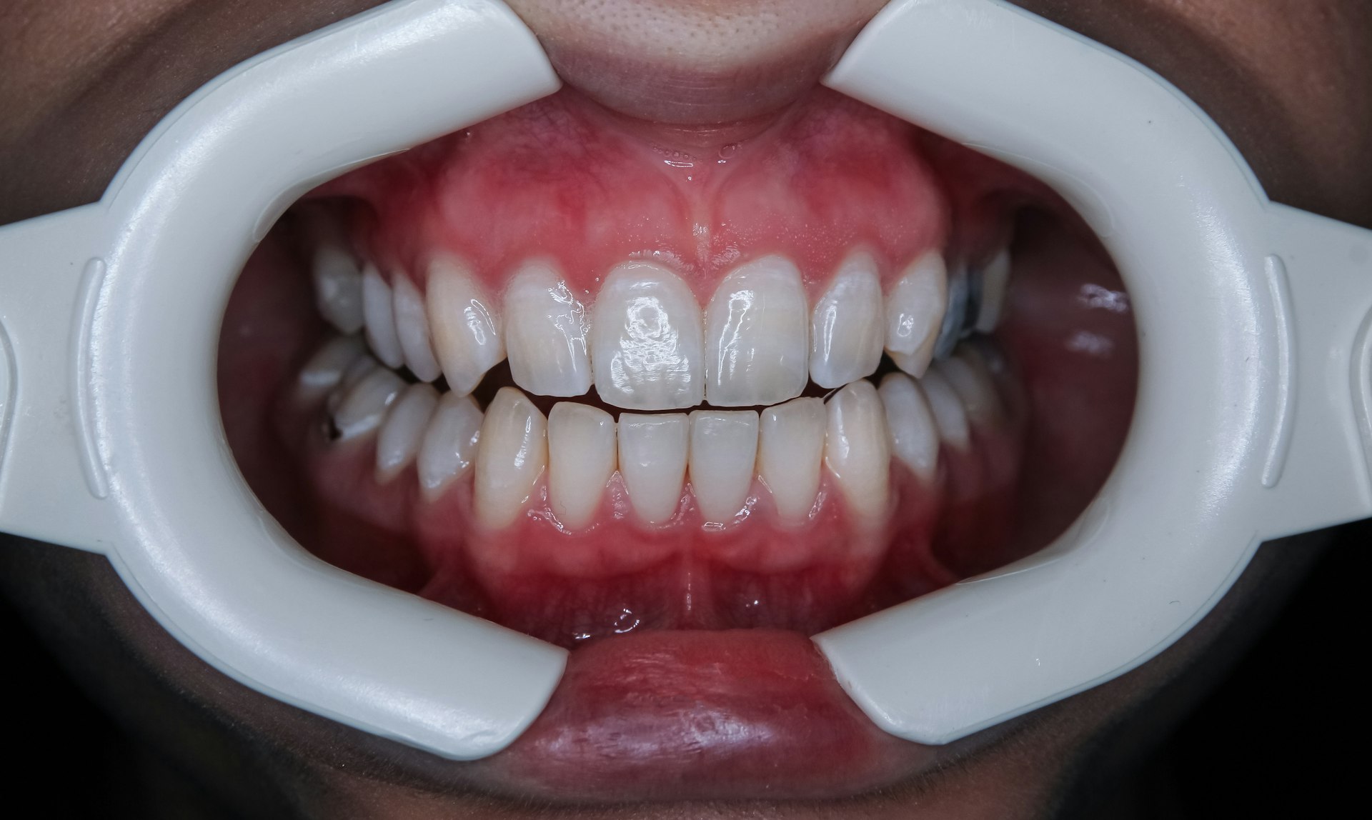
Colocación de Retractores de Mejillas
Esto expone todos los dientes visibles para un blanqueamiento uniforme.
3
Protección de Encías Aplicada
Una barrera de goma líquida protege tu tejido de encías.
4
Gel Blanqueador de Alta Potencia Aplicado
Un pequeño conector se adjunta una vez que la curación está completa.
5
Enjuagar y Reaplicar
Se coloca y ajusta una corona de porcelana personalizada para mayor comodidad y mordida.
Resultados del Blanqueamiento Dental y Cuidado Posterior
Tu sonrisa será instantáneamente más brillante—frecuentemente de manera dramática. Para mantener ese aspecto limpio y blanco:
Evita bebidas que manchen (café, té, vino, refrescos) durante 48 horas
Reduce alimentos de colores intensos como bayas y salsas de tomate
Enjuaga con agua después de comer
Deja de fumar para prevenir el amarillamiento
Cepíllate y usa hilo dental a diario
Programa mantenimiento de blanqueamiento cada 6–12 meses
También ofrecemos bandejas para llevar a casa para retoques continuos.
¿Listo para una sonrisa más brillante?
Una sonrisa más blanca y segura está a solo una visita de distancia.
Reserva tu Blanqueamiento Dental
Privacidad Completa
Aprovecha Ofertas Especiales
Comienza Ahora 📞 Llama al 949-360-9700Preguntas Frecuentes sobre Blanqueamiento Dental
Rápido, Cómodo y Seguro
Debido a que es cosmético, el seguro generalmente no lo cubre. El costo depende de:
Tipo de blanqueamiento (en consultorio o para llevar a casa)
Número de sesiones necesarias
Grado de decoloración
La habilidad y experiencia del dentista
Tu ubicación
Proporcionamos precios transparentes antes del tratamiento y ofrecemosopciones de pago flexibles.
La mayoría de los pacientes siente poco o ningún malestar. Si eres propenso a la sensibilidad, ajustamos la fuerza del gel o proporcionamos tratamientos desensibilizantes.
Puede aclarar la mayoría de los tipos de manchas, pero la decoloración interna (debido a trauma o ciertos medicamentos) puede necesitar carillas en su lugar.
Sí. La corona se personaliza en color y forma para integrarse perfectamente con tu sonrisa.
Generalmente, unos pocos meses desde la colocación hasta la corona final, dependiendo del tiempo de curación.