Teeth Whitening in Aliso Viejo, CA
Let Your Smile Shine Bright in Just One Visit
At AVF Dental Group, Dr. Reza A. Tafreshi offers fast, safe, and highly effective professional teeth whitening treatments designed to deliver immediate, noticeable, and long-lasting results. Whether you're prepping for an event, refreshing your smile, or brightening years of stains, we make the process comfortable and convenient.

Why Choose Professional Teeth Whitening?
Skip the guesswork and frustration of store-bought kits. Our whitening treatments provide:
Immediate results — up to 8 shades brighter in one visit
Safe, dentist-supervised care
Custom treatment for your exact smile
Less sensitivity and irritation
Longer-lasting brightness
Better value than repeated OTC strips
We offer both in-office whitening for dramatic same-day results and custom take-home trays for full control and flexibility.
What Is Teeth Whitening?
Teeth whitening removes stains caused by food, drinks, smoking, aging, or past dental work. While whitening toothpastes and over-the-counter kits can help mildly, they often:
Don’t fully remove deep stains
Causes gum irritation
Offer inconsistent brightness
It takes weeks to show small results
Professional whitening, however, uses a higher-strength, carefully monitored bleaching gel that penetrates deeper and brightens your smile dramatically.
Your Whitening Options at AVF Dental Group
1. In-Office Whitening (One-Hour Visit)
Perfect for patients who want fast results. Using advanced bleaching gel and optional light activation, we brighten your smile in a single visit.
2. Custom Whitening Trays (At-Home System)
Great for maintaining brightness or whitening on your own schedule. Custom trays ensure even results without gum irritation.
Benefits of Professional Teeth Whitening
A noticeably brighter smile in one appointment
Boosted confidence for photos, events, and daily life
Whiter teeth without damaging enamel
Safe and tailored to your dental history
Helps maintain overall oral health
Faster and stronger results than any store kit
A brighter smile can even improve first impressions — personally and professionally.
Your Treatment Steps
1
Smile Evaluation
The dentist checks your teeth and gums to ensure whitening is safe and effective.
2
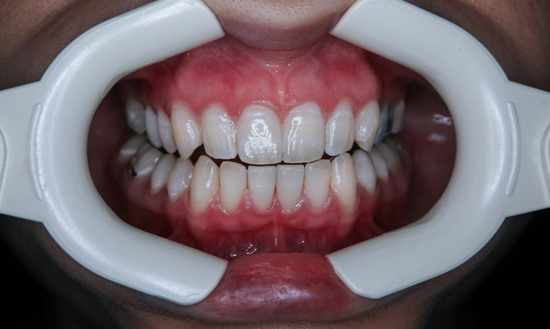
Cheek Retractors Placed
This exposes all visible teeth for even whitening.
3
Gum Protection Applied
A liquid rubber barrier shields your gum tissue.
4
High-Strength Whitening Gel Applied
A small connector is attached once healing is complete.
5
Rinse & Reapply
A custom porcelain crown is placed and adjusted for comfort and bite.
Teeth Whitening Results & Aftercare
Your smile will be instantly brighter—often dramatically. To maintain that clean, white look:
Avoid staining drinks (coffee, tea, wine, soda) for 48 hours
Reduce deep-colored foods like berries and tomato sauces
Rinse with water after eating
Quit smoking to prevent yellowing
Brush + floss daily
Schedule whitening maintenance every 6–12 months
We also offer take-home trays for continued touch-ups.
Ready for a Brighter Smile?
A whiter, more confident smile is just one visit away.
Teeth Whitening FAQs
Quick, Comfortable, and Safe
Because it is cosmetic, insurance typically does not cover it. The cost depends on:
Type of whitening (in-office or take-home)
Number of sessions needed
Degree of discoloration
The skill and experience of the dentist
Your location
We provide transparent pricing before treatment and offer flexible payment options.
Most patients feel little to no discomfort. If you’re prone to sensitivity, we adjust the gel strength or provide desensitizing treatments.
It can brighten most types of stains, but internal discoloration (from trauma or certain medications) may need veneers instead.
Yes. The crown is custom-shaded and shaped to blend seamlessly with your smile.
Usually a few months from placement to final crown, depending on healing time.