Cosmetic Dentistry in Aliso Viejo
Transform your smile with expert, natural-looking results all in one place.
At AVF Dental Group, we combine advanced technology with personalized care to help you look and feel your best.

Our Cosmetic Dentistry Services
Whether you need a single veneer or a full mouth reconstruction, Dr. Tafreshi and our team provide modern cosmetic treatments designed for comfort, precision, and long-lasting results.
Teeth Whitening
Brighten your smile safely in just one visit.
- Professional in-office whitening for instant results
- At-home custom trays available
- Safe for enamel and sensitive teeth
Porcelain & Zirconia Veneers
Perfect minor imperfections, such as chips, discoloration, or uneven teeth.
- Custom-crafted ultra-thin shells
- Natural color match and shine
- Durable, stain-resistant finish
Same-Day Crowns
Restore your tooth in a single appointment.
- Digital 3D scanning, no messy impression
- Designed, milled, and placed the same day
- Strong, aesthetic ceramic material
Crowns & Dental Bridges
Replace or protect damaged teeth with precision-fit restorations.
- Custom crowns and bridges for strength and symmetry
- Natural-looking porcelain and zirconia materials
- Long-term durability and comfort
Full-Mouth Reconstruction
Comprehensive, customized treatment for restoring both function and aesthetics.
- Combines crowns, veneers, and implants as needed
- Ideal for worn, missing, or damaged teeth
- Tailored plan designed by Dr. Tafreshi for lasting results
Cosmetic Dentistry (Smile Makeovers)
We combine multiple treatments (veneers, whitening, bonding, crowns, aligners) into one customized plan to redesign your smile while protecting your bite and jaw health.
Full Mouth Reconstruction
A structured, medical-grade approach using crowns, bridges, implants, bite balancing, and gum treatments to restore function, comfort, and aesthetics is ideal for complex cases or long-term issues.
Dental Veneers
Perfect for discoloration, gaps, minor misalignment, and worn edges when you want a dramatic, natural-looking transformation with strong, stain-resistant materials.
Dental-Lab and In-House Technician
What makes AVF different? We design, craft, and deliver your smile in our own on-site dental lab, with an in-house technician ensuring precision at every step.
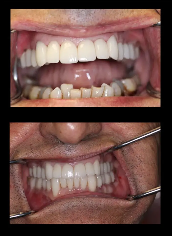
Smile Gallery
Why Choose AVF Dental Group
Advanced Technology
Precision results with 3D imaging
Same-Day
Solutions
Crowns and restorations in one visit
Comfort-First
Care
Gentle treatments, stress-free visits
Trusted Expertise
Led by Dr. Tafreshi with years of experience
Personalized Plans
Tailored care for every smile
Local
Convenience
Easy access in Aliso Viejo
Book Your Visit Today
Let’s Make Your Smile Healthier Starting Now
FAQs – Cosmetic Dentistry at AVF Dental Group
Common Questions
Start with a cosmetic consultation. We review your goals, examine your teeth and bite, and outline options (whitening, veneers, aligners, crowns, etc.) so you can choose what fits your budget and timeline.
No. Many “cosmetic” treatments (crowns, aligners, full-mouth reconstruction) also improve function, chewing, and jaw comfort, and help prevent future damage.
With proper care and regular checkups, they can often last 10–15 years or more, depending on habits (grinding, biting hard objects, oral hygiene).
Yes. We provide flexible payment options and can help maximize any available benefits. Details are reviewed before starting treatment.
Same-Day Crowns are designed and milled in-office during one visit no temporary crown, no second injection. Both are strong and aesthetic; we’ll recommend the option that best fits your tooth and bite.
Yes. Combination plans are standard and carefully sequenced to get the best final color, shape, and bite.
For more in-depth guides on each treatment, visit our Patient Education / Knowledge Base for step-by-step explanations, before-and-after care, and maintenance tips.







