Dental Services in Aliso Viejo
From routine cleanings to dental implants, same-day crowns, veneers, and urgent dental care, our team helps you get the treatment you need with clear communication and modern technology.
Biomimetic
Minimally invasive dentistry focused on preserving healthy tooth structure whenever possible.
General Dentistry
Cleanings, exams, fillings, crowns, and preventive care for adults and families.
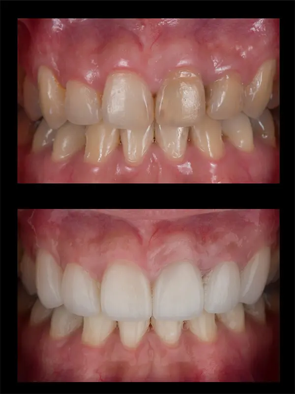
Cosmetic Dentistry
Veneers, whitening, bonding, and smile makeovers designed to enhance your natural smile.
Dental Implants
Replace missing teeth with implant solutions planned for comfort, function, and long-term stability.
Emergency Dentistry
Tooth pain, broken teeth, swelling, or dental trauma? Call for same-day urgent dental care.
Oral Surgery
Advanced oral surgery with a compassionate touch. We treat pain and infection using state-of-the-art 3D imaging and personalized gentle sedation techniques for your recovery.
3D Imaging & X-Ray
Digital imaging helps us diagnose clearly, plan precisely, and explain your options with confidence.
Read Our Patients' Stories & Experiences
Leading the Way in Aliso Viejo
Meet Our Director
Dr. Reza A. Tafreshi
Cosmetic & Implant Dentistry
Dr. Reza Tafreshi has served Orange County patients for over 15 years with a focus on cosmetic, implant, and restorative dentistry. His approach combines advanced technology, precise treatment planning, and a calm, patient-first experience.

Dr. Amirali Karimi
General Dentist
Dr. Amirali Karimi focuses on minimally invasive, biomimetic, and cosmetic restorative dentistry. His goal is to preserve natural tooth structure while creating durable, comfortable, natural-looking results.
Special Services
Biomimetic & Cosmetic Restorative Dentistry
Clear Aligners
Modern Dental Technology, More Comfortable Care
Modern Technology
High-resolution scans help us diagnose problems early and explain treatment clearly.
Patient Comfort
Our team focuses on clear communication, gentle care, and a calmer dental experience.
Excellence in after-care
We give you clear instructions and follow-up guidance so you know what to expect after treatment.
Patient-First Excellence in Orange County
Free Consultations
All In-House Work
Emergency Dentist
Walk-ins Welcome
Warranty options available.
Flexible Financing
"The 3D technology at AVF is incredible. I saw exactly what was going on with my wisdom teeth before the surgery. Felt so much safer knowing the precision they had."
Ramin F
VERIFIED PATIENT
Insurance & Payment Options
We accept many PPO plans, Denti-Cal, and offer flexible financing options. Our team can help you understand your estimated benefits before treatment.





