Skip to Content

Your Periodontal Surgery Procedure in Aliso Viejo

Healthier Gums. Faster Healing. Better Outcomes.

If you’ve noticed bleeding gums, bad breath, or deep pockets, our modern laser approach can help you regain comfort and confidence.

Book Your Visit


woman smiling wearing white top
Dentist Office In Aliso Viejo
Dr Reza Tafreshi Dentist

What Is Periodontal Surgery?

Two cartoon teeth smiling on a green background

Everything you need

Periodontal Surgery is a modern treatment that uses gentle laser energy to remove infected tissue and sterilize deep gum pockets. Unlike traditional gum surgery, this method requires no cutting or sutures, offers minimal discomfort, and promotes rapid healing.

Laser therapy allows us to:

  • Eliminate bacterial colonies at a microscopic level

  • Reduce inflammation and shrink pocket depth

  • Stimulate healthy tissue to regenerate

  • Prevent bacterial recolonization

  • Create a cleaner, stronger foundation for your teeth

Pairing this technology with professional cleaning ensures the highest level of periodontal care.

Book Your Visit

Benefits of Periodontal Surgery

A cleaner, safer, and faster way to treat gum disease.

  • Minimally invasive — no incisions or stitches

  • Reduced bleeding and swelling

  • Faster healing time (often within 24 hours)

  • Lower chance of re-infection

  • Decreased risk of tooth loss

  • Quick (3–5 minutes in some cases)

  • Improves overall health by reducing bacterial load

Our hygienists often recommend laser therapy during routine periodontal maintenance to support long-term gum stability and enhance immune response.


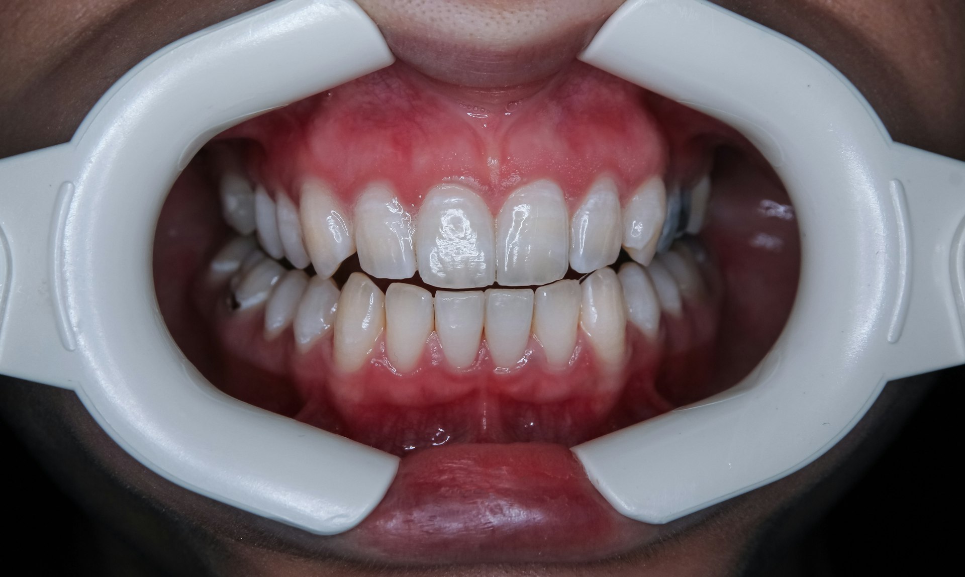
a person's mouth with teeth

Our Periodontal Surgery Procedure

1

Laser Removal of Infected Tissue

Gentle laser energy removes diseased tissue from gum pockets without cutting.

2

Deep Root Cleaning

Once roots are exposed, plaque and tartar are thoroughly removed from all affected surfaces.

3

Laser Sterilization & Sealing

The laser is used again to disinfect the pocket and stimulate natural reattachment of gum tissue.

Book Your Visit Today

Let’s Make Your Smile Healthier Starting Now

grayscale photo of mans face

Recovery & Aftercare

Healing after laser periodontal therapy is dramatically improved compared to traditional surgery.

What to Expect

  • Return to normal activities within 24 hours

  • Minimal swelling or discomfort

  • No stitches or incisions

  • No need for bone or soft tissue grafts in most cases

  • Faster gum reattachment and reduced inflammation

The laser works by eliminating bacterial colonies and encouraging tissue regeneration—leading to stronger, longer-lasting results.

Most patients find the procedure significantly more comfortable than traditional gum surgery.

Book Your Visit

Aliso Viejo Family Dental Group