Single Dental Implants in Aliso Viejo, CA
Replace One Missing Tooth with a Natural, Permanent Solution
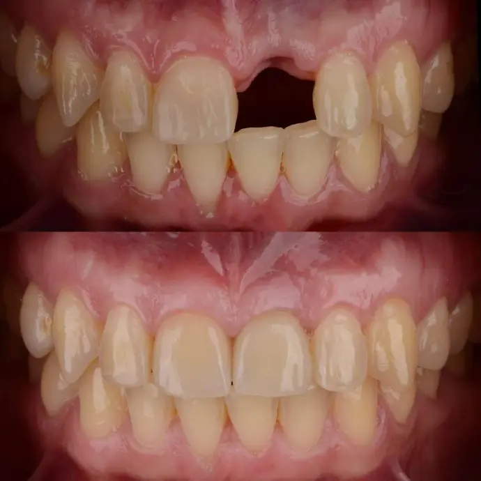
Missing a tooth affects everything, from chewing to confidence to long-term oral health. A single dental implant restores your smile with a strong, natural-looking tooth that blends perfectly with your real teeth.
Permanent Stability
Unlike dentures or bridges, implants are a lifetime solution. Once integrated, they become a part of your anatomy, providing the same bite force as your original teeth.

Bone Health Preservation
Implants are the only solution that prevents the jawbone from deteriorating after tooth loss, maintaining your facial structure and youthful appearance.
Permanent Stability
Unlike dentures or bridges, implants are a lifetime solution. Once integrated, they become a part of your anatomy, providing the same bite force as your original teeth.
Protects Neighbors
Unlike dentures or bridges, implants are a lifetime solution. Once integrated, they become a part of your anatomy, providing the same bite force as your original teeth.
Chewing Power
Unlike dentures or bridges, implants are a lifetime solution. Once integrated, they become a part of your anatomy, providing the same bite force as your original teeth.
What Is a Single Dental Implant?
A single dental implant is a sophisticated medical device designed to replace both the root and the crown of a missing tooth. It consists of three primary components that work in harmony to mimic natural tooth function.
A single implant replaces the entire tooth structure, root, and crown using:
Titanium Post
A biocompatible screw that integrates with your jawbone, serving as a stable root.
Custom Abutment
The connector piece that secures the visible tooth to the internal post.
Porcelain Crown
The visible tooth, handcrafted in our lab to match the color and contour of your natural teeth.
You’re a Great Candidate If You Want To...
Missing a single tooth or facing a required extraction.
Adequate jawbone density to support the titanium post.
Healthy gums and a commitment to oral hygiene.
Seeking a permanent, fixed solution over removable options.
*Note: If bone density is low, we offer advanced bone grafting solutions to make you a candidate.
Precision Powered by Technology
At AVF Dental Group, we utilize the latest diagnostic tools to ensure your procedure is safe, predictable, and comfortable. Our in-house lab ensures that every crown is a work of art, custom-milled to the highest specifications.
Benefits of a Single Implant
Permanent, long-lasting solution
Maintains jawbone health and volume
Protects neighboring teeth (no need to grind them for a bridge)
Strong, reliable chewing power
Beautiful, natural appearance in photos and daily life


Results & Aftercare
Once completed, your implant tooth will:
Look and feel like a natural tooth
Allow you to eat normally
Require only regular brushing, flossing, and cleanings
We’ll give you specific aftercare instructions and see you for periodic checkups to ensure long-term success.
The Journey to Your New Smile
01
Digital Planning
The dentist checks your teeth and gums to ensure whitening is safe and effective.
02
Implant Placement
The titanium post is placed into the jawbone under local anesthesia.
03
Healing period
The bone naturally fuses to the implant (osseointegration).
05
Final custom crown
A custom porcelain crown is placed and adjusted for comfort and bite.
04
Abutment Placement
A small connector is attached once healing is complete.
Frequently Asked Questions
Singel Dental Implant
You’ll be fully numb; most patients feel only mild soreness afterward.
With regular care, implants often last a lifetime.
Yes. The crown is custom-shaded and shaped to blend seamlessly with your smile.
Usually a few months from placement to final crown, depending on healing time.
Ready to Replace a Missing Tooth?
A single implant can restore your bite, confidence, and smile.