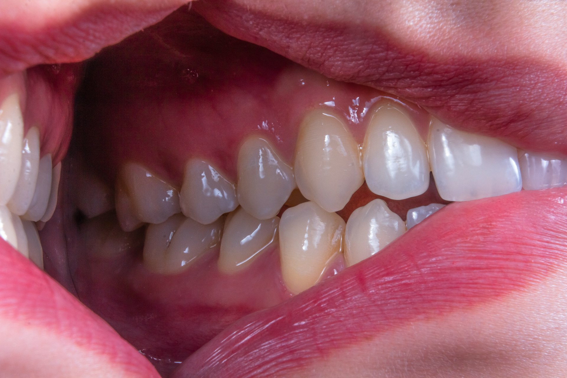
WHAT IS GUM CONTOURING?
Gum contouring is a dental procedure that reshapes the gum tissue to improve appearance, comfort, or oral health.
Depending on your needs, the procedure may involve:
Removing excess gum tissue when gums cover too much of the teeth
Adding or grafting tissue when gums have receded
Laser technology or traditional techniques may be used based on clinical needs.
Your dentist will clearly explain which option applies to you.
Local Orange County care
BENEFITS OF GUM CONTOURING
Gum contouring is commonly performed for cosmetic and functional reasons, including:
Creating a more balanced smile
Improving gum symmetry
Treating a “gummy smile”
Supporting periodontal health
Reducing gum irritation or inflammation
In many cases, gum contouring is recommended as part of a broader periodontal or restorative treatment plan.
Restore Balance to Your Smile
If you’re considering gum contouring for cosmetic or health reasons, our team is here to help.
MEDICAL REASONS FOR GUM CONTOURING
Gum contouring may be medically recommended in cases such as:
Periodontal (Gum) Disease
When deep cleaning, scaling, root planing, or antibiotics are not sufficient, gum contouring may be part of pocket reduction or regenerative therapy.
Gingival Hyperplasia
Overgrowth of gum tissue caused by:
Certain medications
Pregnancy
Diabetes
Crohn’s disease
If the condition does not resolve after treating the underlying cause, gum contouring may be necessary.
Ridge Irregularities
In some cases, laser-assisted gum therapy may be used to improve the appearance and contour of gum tissue around missing teeth or restorative treatments.

THE GUM CONTOURING PROCEDURE
Gum contouring is typically performed in-office and includes:
1
Anesthesia & Comfort
Local anesthesia is used to ensure comfort.
2
Tissue Reshaping
The area is fully numbed. Sedation may be available for anxiety or complex cases.
3
Precision & Healing
Laser technology allows for:
More precise treatment
Less bleeding
Reduced need for sutures
Faster recovery for many patients
YOUR GUM CONTOURING CONSULTATION
During your consultation, our dental team will:
Evaluate your oral health
Discuss your aesthetic and functional goals
Determine whether gum contouring is appropriate
Explain laser vs traditional techniques
Review recovery expectations and aftercare
Our goal is to provide clear guidance and personalized care so you can make confident decisions.
WHY CHOOSE AVF DENTAL GROUP?
Careful, conservative decision-making
Modern diagnostic technology
Clear communication at every step
Trusted dental care in Aliso Viejo, CA
Top Questions Answered
Most patients recover within a few days to two weeks, depending on the extent of treatment.
Most patients report little to no pain during the procedure due to anesthesia. Mild discomfort may occur during healing.
Insurance & Finance Partners
Our Network of Insurance and Financial Platform
150+ more in-network
