(949) 360-9700 Appointment

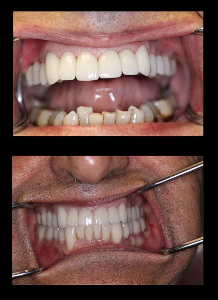
Full Mouth Reconstruction Gallery Dentistry in Aliso Viejo

We are dedicated to providing comprehensive oral health treatment to all our patients. Our team, led by Dr. Tafreshi, believes that a solid doctor-patient relationship is built on mutual trust and respect. We work closely with each patient to establish a lifelong partnership and provide personalized treatment plans. We want you to feel empowered in making decisions about your oral health. Don't let dental care be a luxury out of reach; we believe a beautiful smile is easily achievable for everyone. Schedule an appointment today, and let us help you achieve your dental goals.

15 Mareblu Suite #360, Aliso Viejo, CA 92656